Cuida tu corazón con la atención de un cardiólogo recertificado


Médico cardiólogo en Mazatlán, Sinaloa
El Dr. Jorge M. Lizárraga Sánchez es un médico cardiólogo recertificado y egresado del Centro Médico Nacional de Occidente, en la Unidad Médica de Alta Especialidad donde actualmente brinda consultas en Mazatlán, Sinaloa.
Al ser parte del Hospital Civil de Guadalajara y de la Universidad en la misma ciudad, el cardiólogo Dr. Jorge M. Lizárraga Sánchez, cuenta con amplia experiencia en distintos procedimientos ante enfermedades cardíacas. Siempre con una atención completamente profesional, personalizada y honesta.
Tu salud en manos de un cardiólogo profesional
En nuestra unidad especializada en cardiología y hemodinamia, ofrecemos estudios avanzados para la prevención, diagnóstico y tratamiento de enfermedades del corazón y del sistema vascular.
Ponte en contacto con el Dr. Jorge M. Lizárraga Sánchez y recibe ayuda profesional ante cualquier problema cardíaco que presentes u otras complicaciones por enfermedades similares con valoraciones cardíacas oportunas, check up y marcapasos.

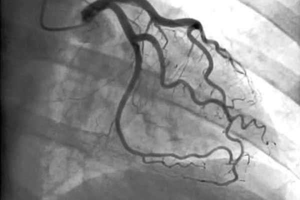
Estos son algunos de los procedimientos clave:
Cateterismo cardiaco: Estudio que permite visualizar las arterias del corazón y detectar obstrucciones.
Angioplastia coronaria y colocación de stent: Procedimientos para abrir arterias bloqueadas y restaurar el flujo sanguíneo.
Prueba de esfuerzo y Holter 24 horas: Evaluaciones del ritmo y desempeño cardíaco durante la actividad física o en tiempo prolongado.
M.A.P.A. (Monitoreo Ambulatorio de Presión Arterial): Control detallado de la presión arterial durante 24 horas.
Implante de marcapasos: Dispositivo que regula los latidos del corazón en pacientes con arritmias.
Check up y valoración cardiológica: Revisión integral para detectar factores de riesgo y prevenir enfermedades cardiovasculares.
Ecocardiogramas y electrocardiogramas: Estudios de imagen y eléctricos que muestran el estado del corazón en reposo.
Cateterismo periférico: Estudio de arterias en otras zonas como carótidas, renales, aorta y extremidades, útil para detectar problemas de circulación.
Cada estudio tiene un propósito específico, y al combinarlos, se logra una visión completa del estado cardiovascular del paciente, lo que permite tomar decisiones clínicas más precisas y oportunas.
Cuida tu salud con una vida activa y una revisión constante del cardiólogo Dr. Jorge M. Lizárraga Sánchez
MÁNDANOS UN MENSAJE
Contáctenos
Gracias por contactarnos.
Nos pondremos en contacto con usted tan pronto como sea posible.
Ups, hubo un error al enviar tu mensaje.
Por favor, inténtelo de nuevo más tarde.
Dr. Jorge Manuel Lizárraga Sánchez
Médico Cirujano y Partero
Cédula Profesional: 3421636
Universidad de Guadalajara
Especialidad en Cardiología
Cédula Especialidad: 6673732
Universidad de Guadalajara







